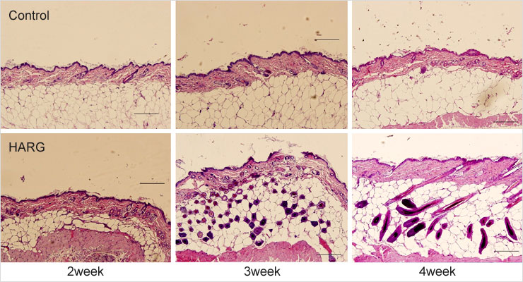
ハーグ療法の基礎実験データ

毛部分にハーグ療法を施した基礎実験データです。未治療群(control)は、毛包の出現が認められません。HARG治療群(HARG)では、3週間後に毛包が出現し、4週間目で毛包の成熟が認められています。 ハーグ量の効果は、多くの基礎実験により証明されています。

実際にハーグ療法を行った症例の頭皮の状況を示しています。ハーグ療法により、一つの毛穴から出る毛髪の本数が増えて、毛髪が太くなっていることが分かります。 ハーグ療法の効果が実際の症例においても証明されています。


毛部分にハーグ療法を施した基礎実験データです。未治療群(control)は、毛包の出現が認められません。HARG治療群(HARG)では、3週間後に毛包が出現し、4週間目で毛包の成熟が認められています。 ハーグ量の効果は、多くの基礎実験により証明されています。

実際にハーグ療法を行った症例の頭皮の状況を示しています。ハーグ療法により、一つの毛穴から出る毛髪の本数が増えて、毛髪が太くなっていることが分かります。 ハーグ療法の効果が実際の症例においても証明されています。